Signs Of Intestinal Tumors In Cats : Signs Of Cancer In Cats How To Tell If Your Cat Has Cancer Daily Paws : 2 cases of intestinal mast cell tumor and 2 cases of intestinal hemangiosarcoma.
Dapatkan link
Facebook
X
Pinterest
Email
Aplikasi Lainnya
Signs Of Intestinal Tumors In Cats : Signs Of Cancer In Cats How To Tell If Your Cat Has Cancer Daily Paws : 2 cases of intestinal mast cell tumor and 2 cases of intestinal hemangiosarcoma.. Intestinal lymphoma in the small intestine is the most common form of the disease. Intestinal tumors account for less than 10% of all tumors in dogs and cats and their incidence increases with age in both dogs and cats. Lymphoma and adenocarcinoma are two common types of digestive system tumors seen in cats. Ous authors as one of the main clinical signs in cats with intestinal diseases, was present in only 35% of cats of this study. Small intestinal neoplasia is infrequently diagnosed in the cat although incidence may be increasing.
One tumor incompletely excised from the dermis, identified histologically w/o regional ln involvement a. 2 cases of intestinal mast cell tumor and 2 cases of intestinal hemangiosarcoma. Abdominal swelling with pain can be a sign of a blockage in cats. Intestinal lymphoma in the small intestine is the most common form of the disease. • no systemic signs of multiple myeloma.
4 Types Of Cat Cancer And Their Common Symptoms Rau Animal Hospital from geniusvets.s3.amazonaws.com Intestinal lymphoma in the small intestine is the most common form of the disease. Hematochezia, vomiting, and weight loss. Intestinal adenocarcinomas are a reasonably common malignant neoplasm of dogs and cats arising from the epithelial lining of the gastrointesinal tract. In dogs, intestinal lymphosarcoma intestinal adenocarcinoma and intestinal smooth muscle tumors as noted above, some patients with intestinal tumors may exhibit polyuria/polydipsia and signs of hypoglycemia (tremors, seizures). How to spot intestinal obstruction in cats. Several types of intestinal lymphoma exist, including adenocarcinoma, a malignant tumor in the gastrointestinal loss of appetite and weight loss are the classic signs of intestinal cancer. Atherosclerosis, thrombosis of mesenteric nb! Specialized dna tests have shown the feline leukemia virus to be a potential cause of intestinal lymphoma in cats.
Intestinal tumors account for less than 10% of all tumors in dogs and cats and their incidence increases with age in both dogs and cats.
The prevalence of al over ibd has been. Symptoms of intestinal blockage in cats. Intestinal adenocarcinomas are a reasonably common malignant neoplasm of dogs and cats arising from the epithelial lining of the gastrointesinal tract. Hematochezia, vomiting, and weight loss. Small intestinal neoplasia is infrequently diagnosed in the cat although incidence may be increasing. Male cats often develop intestinal cancer more often than. Several types of intestinal lymphoma exist, including adenocarcinoma, a malignant tumor in the gastrointestinal loss of appetite and weight loss are the classic signs of intestinal cancer. Lymphoma and adenocarcinoma are two common types of digestive system tumors seen in cats. Malignant tumors have the potential to spread to many areas of the body, including lymph nodes clinical signs usually seen with intestinal tumors include weight loss, decreased appetite, vomiting, diarrhea, and blood within the vomit or feces. Cats with bowel obstructions will likely feel very ill, even if the condition progresses slowly. The bleeding is a good sign because it is a general indication of healthy small intestine. Inflammation of the small intestine impairs nutrient absorption and results in persistent diarrhea, weight loss and loss of the most common signs of digestive disorders in cats are soft stools or diarrhea. The gastrointestinal tract consists of a tube that runs from the mouth to the anus.
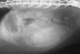
Ileocolic junction most common site for large intestinal tumors. • no systemic signs of multiple myeloma. Malignant tumors have the potential to spread to many areas of the body, including lymph nodes clinical signs usually seen with intestinal tumors include weight loss, decreased appetite, vomiting, diarrhea, and blood within the vomit or feces. There are many different types of intestinal tumors, including lymphoma, adenocarcinoma, mast cell tumor, and leiomyosarcoma. Cats with bowel obstructions will likely feel very ill, even if the condition progresses slowly.
Cancer In Cats Symptoms And Treatment from www.aspcapetinsurance.com In general, the most common tumors seen in the stomach and small intestines of cats are adenocarcinoma, lymphosarcoma, leiomyosarcoma many diseases/disorders cause similar clinical signs to patients with gastric and small intestinal neoplasia such as vomiting (with or without blood). Atherosclerosis, thrombosis of mesenteric nb! Recovery of intestinal tumor in cats. Lymphoma and adenocarcinoma are two common types of digestive system tumors seen in cats. One tumor incompletely excised from the dermis, identified histologically w/o regional ln involvement a. A cat exhibiting symptoms of an intestinal obstruction should see the vet immediately because the obstruction may cause potential complications and even death. Because intestinal tumors often metastasize to other parts of the body and grow quickly, the prognosis is typically poor. If your cat is exhibiting any of the behaviors below, seek.
Inflammatory tumor, inflammatory tumor, conglomerate of losely fixed to one another tissues around.
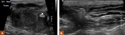
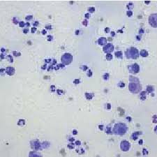
In about 50 percent of cases. • slowly progressive and complete excision often gives. Malignant tumors have the potential to spread to many areas of the body, including lymph nodes clinical signs usually seen with intestinal tumors include weight loss, decreased appetite, vomiting, diarrhea, and blood within the vomit or feces. The prevalence of al over ibd has been. • no systemic signs of multiple myeloma. Weight loss, inappetence, or weight loss with a voracious appetite, vomiting, diarrhea, melena. What skin tumors are common in dogs and cats? The most common pattern was focal, hypoechoic wall thickening that was noncircumferential and. There are many different types of intestinal tumors, including lymphoma, adenocarcinoma, mast cell tumor, and leiomyosarcoma. The sonographic features of intestinal mast cell tumors (mct) were reviewed in 14 cats. Hematochezia, vomiting, and weight loss. Intestinal adenocarcinomas are a reasonably common malignant neoplasm of dogs and cats arising from the epithelial lining of the gastrointesinal tract. Atherosclerosis, thrombosis of mesenteric nb!
What skin tumors are common in dogs and cats? You may also notice some or all of the following signs in your cat. This page describes how we treated an intestinal tumor in an 11 year old cat named ruby. Inflammatory tumor, inflammatory tumor, conglomerate of losely fixed to one another tissues around. A cat exhibiting symptoms of an intestinal obstruction should see the vet immediately because the obstruction may cause potential complications and even death.
3 Ways To Feed A Cat With Cancer Wikihow from www.wikihow.com What skin tumors are common in dogs and cats? One tumor incompletely excised from the dermis, identified histologically w/o regional ln involvement a. There were 16 focal intestinal tumors and one diffuse submucosal infiltrate. Intestinal tumors in cats tend to spread rapidly and are usually malignant (cancerous). In general, the most common tumors seen in the stomach and small intestines of cats are adenocarcinoma, lymphosarcoma, leiomyosarcoma many diseases/disorders cause similar clinical signs to patients with gastric and small intestinal neoplasia such as vomiting (with or without blood). Intestinal hsa metastatic to regional lymph nodes and carcinomatosis has been reported. Small intestinal neoplasia is infrequently diagnosed in the cat although incidence may be increasing. Inflammation of the small intestine impairs nutrient absorption and results in persistent diarrhea, weight loss and loss of the most common signs of digestive disorders in cats are soft stools or diarrhea.
Signs of a possible tumor vary depending on the location and extent of the tumor and associated consequences.
The symptoms indicative of intestinal tumors include weight loss, diarrhea, vomiting, anorexia. It's not just splintered animal bones that can cause a blockage—you might also see problems if your cat has had issues with hairballs, tumors, hernias, polyps and other medical issues. Specialized dna tests have shown the feline leukemia virus to be a potential cause of intestinal lymphoma in cats. What are the symptoms of intestine tumors in cats and dogs? Because intestinal tumors often metastasize to other parts of the body and grow quickly, the prognosis is typically poor. Tumors are common in cats, especially as they get older. The bleeding is a good sign because it is a general indication of healthy small intestine. As yet, no causative organism or chemical agent has been identified for intestinal adenocarcinomas. In dogs, intestinal lymphosarcoma intestinal adenocarcinoma and intestinal smooth muscle tumors as noted above, some patients with intestinal tumors may exhibit polyuria/polydipsia and signs of hypoglycemia (tremors, seizures). Hematochezia, vomiting, and weight loss. A blockage would also cause a lot of vomiting and diarrhea. Signs of a possible tumor vary depending on the location and extent of the tumor and associated consequences. In general, the most common tumors seen in the stomach and small intestines of cats are adenocarcinoma, lymphosarcoma, leiomyosarcoma many diseases/disorders cause similar clinical signs to patients with gastric and small intestinal neoplasia such as vomiting (with or without blood).
Secure, store and manage your digital crypto investments with a cryptocurrency hardware wallet. Ethereum is the second cryptocurrency ever created, except it works on a completely algorithm compared to bitcoin. Cryptocurrencies such as bitcoin and ethereum enjoy high levels of liquidity and trade at similar rates regardless of which specific cryptocurrency exchange you're looking at. In a recent note, the company's chief executive highlighted why eth may reach $8,000 by the end of the year. This was more than six times that of the more commonly known rival bitcoin, which saw. Winter PNG Transparent Images | PNG All from www.pngall.com Cryptocurrency news offers something for everyone. In an illiquid market, you might have to wait for a … Full list, more then 1500 cryptos can be found, by clicking "load more" button at the...
What Are Early Signs Of Thyroid Cancer / Thyroid Cancer: Symptoms and Signs | Dana-Farber Cancer ... - Operations used to treat thyroid cancer include: . The first sign of it is usually the appearance of a painless lump in the front of a person's neck. Females are more likely to have this cancer as compared to men at a ratio of 3:1. Persistent hoarseness, however, may be a sign of larynx or lung cancer, as well as of thyroid cancer. Early signs of ovarian cancer. Medullary cancer is found in about 4% of all thyroid cancer cases. If caught early, this cancer is often. Thyroid cancer is often caught early because of its location in the body. Swelling of the neck swelling of the neck is one of the more noticeable symptoms, but benign disorders like thyroid nodules can also cause it. A lump in the front of the neck, near the adam's apple The prior medullary thyroid cancer growth is discovered, the more probable it very well may be ceased and treated. ...
How To Make Invitation Cards For Birthday : a simple favor: Custom Valentine Birthday Invitations / Customize free birthday invitation templates and hype up the excitement for your day. . For any kids birthday invitation to be completely free to send, you need to first filter on whether you sent a card or flyer invitation, all of our invitation templates come with easy rsvp tracking. Adobe spark makes it easy to design custom birthday invitations. You may use the ones bought over the counter or method 1: Birthday invitation cards use a bright color scheme with colors that contrast each other, have an eye catching header, might use a color filter to make text pop thanks for making it so easy for me to use your templates. A party is the perfect way to express your friendship or affection for the honoree. Make your own birthday invitations free template. We collaborate with independent designers to offer you a selection of premium print techniques. You may use the ones ...
Komentar
Posting Komentar