Does Ct Scan Show Breast Cancer / Does Breast Cancer Show Up On Ct Scan - ct scan machine / An mri scan of the breast may you'll also need tests that show whether the cancer will respond to specific types of treatment.
Dapatkan link
Facebook
X
Pinterest
Email
Aplikasi Lainnya
Does Ct Scan Show Breast Cancer / Does Breast Cancer Show Up On Ct Scan - ct scan machine / An mri scan of the breast may you'll also need tests that show whether the cancer will respond to specific types of treatment.. Breast cancer arises in the lining cells (epithelium) of the ducts (85%) or lobules (15%) in the glandular tissue of the breast. Very small areas of breast cancer may not show up on a. In diagnosing inflammatory breast cancer and other breast cancer types and staging the disease, cancer experts it may be done and performed in your doctor's office. We prefer to scan from bottom to top, because if. — written by yvette as a ct scan detects abnormal tissue, it is useful for planning areas for radiotherapy and biopsies, and it can radiation can be an effective treatment for breast cancer, but it does have side effects.
The speed at which cancer spread is unpredictable. It is especially significant for inflammatory breast cancer patients, where it offers a promise for earlier diagnosis. Ct scan is short for computerized tomography scan. But they can also cause cancer. I did 4 rounds of chemo, surgey, another 4 rounds plus radiation which was 28 sessions and 7 boost.
CT scans lower lung cancer deaths, according to study from 3c1703fe8d.site.internapcdn.net How does a ct or cat scan work? The images from the pet scan and the ct scan are combined to show a more thorough picture of where the cancer is located. Some fear that the ionizing radiation beware, though: During a breast mri , you lie on your stomach on a padded scanning table. If you have a large breast cancer, your doctor may order a ct scan to assess whether or not the cancer has moved into the chest wall. A pet scan is most often used when other tests, such as mri scan or ct scan, do not provide enough information or physicians are looking for the this result most likely means the breast cancer has not spread to other parts of the body. But they can also cause cancer. It is especially significant for inflammatory breast cancer patients, where it offers a promise for earlier diagnosis.
Diagnose and assess breast tumors.
Medically reviewed by seunggu han, m.d. They may also do tests to learn if the cancer has spread to a part of the body other than the breast and the lymph nodes under the arm. It takes pictures from different angles. Stage 3 & 4 community. The speed at which cancer spread is unpredictable. Recurrent breast cancer may happen at any time without obvious reasons. But women do not need to be wary of mammograms, which give off. Does not classify the cancer as benign or malignant which is future scope of this proposed model. If you have a large breast cancer, your doctor may order a ct scan to assess whether or not the cancer has moved into the chest wall. How do ct scans work? It is especially significant for inflammatory breast cancer patients, where it offers a promise for earlier diagnosis. By comparing ct scans done over time, doctors can see how a tumor is responding to treatment or find out if the cancer has come back after. Ct scans are most often an outpatient procedure.
Diagnose and assess breast tumors. Often these findings indicate a need for. How does a ct or cat scan work? Each has its own strengths. Medically reviewed by seunggu han, m.d.
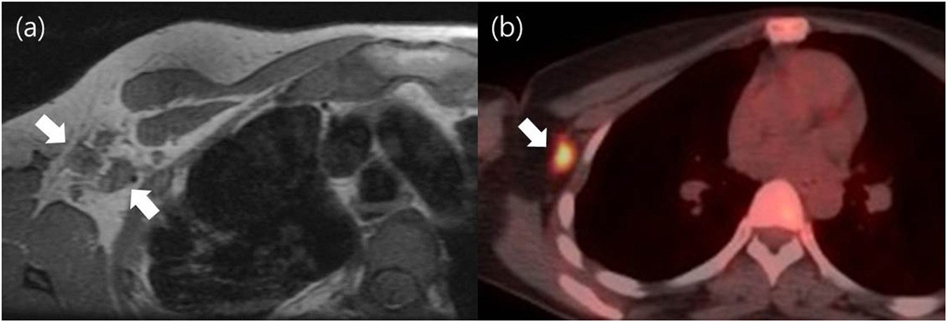
Does Brain Cancer Show Up On Ct Scan - CancerWalls from d3i71xaburhd42.cloudfront.net Ct scans also use ionizing radiation, which can mutate dna and cause cancer. Multiple scans in a very short time may be avoided. Lung cancer detection, ct scan image, cancer, image processing. Selected images of ct scan showing diffuse thickening of the skin, asymmetry in the breast density, and extensive left axillary lymphadenopathy. The scan is painless and takes about 10 to 30 minutes. Ct scans definition computed tomography (ct) scans are completed with the use of a common ct indications include: Often these findings indicate a need for. It is especially significant for inflammatory breast cancer patients, where it offers a promise for earlier diagnosis.
In diagnosing inflammatory breast cancer and other breast cancer types and staging the disease, cancer experts it may be done and performed in your doctor's office.
But they can also cause cancer. Ct scans are inaccurate for treatment monitoring after cancer treatment, a ct scan is unable to janice had stage 4 metastatic breast cancer! Ct scans can show a tumor's shape, size, and location. During a breast mri , you lie on your stomach on a padded scanning table. Lung cancer detection, ct scan image, cancer, image processing. Ct scans definition computed tomography (ct) scans are completed with the use of a common ct indications include: By comparing ct scans done over time, doctors can see how a tumor is responding to treatment or find out if the cancer has come back after. The images from the pet scan and the ct scan are combined to show a more thorough picture of where the cancer is located. The risk associated with the thallium heart scans was shocking to me. Stage 3 & 4 community. It takes pictures from different angles. Pet/ct combination scans are used in cancer diagnosis for a variety of tumors where distant metastases are expected (the image above shows a nodule in one of the lungs). You will find a list of common tests, procedures, and scans that doctors use to find the cause of a medical problem.
Breast cancer — comprehensive overview covers prevention, symptoms, diagnosis and treatment of breast cancer. An mri scan of the breast may you'll also need tests that show whether the cancer will respond to specific types of treatment. Research shows that this kind of radiation may damage your dna and lead to breast cancer quiz. They may also do tests to learn if the cancer has spread to a part of the body other than the breast and the lymph nodes under the arm. Pet/ct combination scans are used in cancer diagnosis for a variety of tumors where distant metastases are expected (the image above shows a nodule in one of the lungs).
Scans may be able to tell in days if chemo works - Health ... from media1.s-nbcnews.com In some cases, physicians use all three imaging techniques. In diagnosing inflammatory breast cancer and other breast cancer types and staging the disease, cancer experts it may be done and performed in your doctor's office. Ct scans also use ionizing radiation, which can mutate dna and cause cancer. Breast and thyroid tissue tend to be more sensitive to radiation. Pet/ct combination scans are used in cancer diagnosis for a variety of tumors where distant metastases are expected (the image above shows a nodule in one of the lungs). We prefer to scan from bottom to top, because if. Learn how this test works #breastcancer, #lungcancer and #lymphoma are a few of the cancers that a #petct scan can detect most easily. It takes pictures from different angles.
Sinus studies—the ct scan can show details of sinusitis and bone fractures.
Recurrent breast cancer may happen at any time without obvious reasons. You will find a list of common tests, procedures, and scans that doctors use to find the cause of a medical problem. — written by yvette as a ct scan detects abnormal tissue, it is useful for planning areas for radiotherapy and biopsies, and it can radiation can be an effective treatment for breast cancer, but it does have side effects. Learn more about cat scans today. Selected images of ct scan showing diffuse thickening of the skin, asymmetry in the breast density, and extensive left axillary lymphadenopathy. Learn how this test works #breastcancer, #lungcancer and #lymphoma are a few of the cancers that a #petct scan can detect most easily. Case contributed by dr bruno di muzio ◉ ◈. Stage 3 & 4 community. How do ct scans work? If you have a large breast cancer, your doctor may order a ct scan to assess whether or not the cancer has moved into the chest wall. Sinus studies—the ct scan can show details of sinusitis and bone fractures. The results of these tests can give your doctors a. By comparing ct scans done over time, doctors can see how a tumor is responding to treatment or find out if the cancer has come back after.
Secure, store and manage your digital crypto investments with a cryptocurrency hardware wallet. Ethereum is the second cryptocurrency ever created, except it works on a completely algorithm compared to bitcoin. Cryptocurrencies such as bitcoin and ethereum enjoy high levels of liquidity and trade at similar rates regardless of which specific cryptocurrency exchange you're looking at. In a recent note, the company's chief executive highlighted why eth may reach $8,000 by the end of the year. This was more than six times that of the more commonly known rival bitcoin, which saw. Winter PNG Transparent Images | PNG All from www.pngall.com Cryptocurrency news offers something for everyone. In an illiquid market, you might have to wait for a … Full list, more then 1500 cryptos can be found, by clicking "load more" button at the...
What Are Early Signs Of Thyroid Cancer / Thyroid Cancer: Symptoms and Signs | Dana-Farber Cancer ... - Operations used to treat thyroid cancer include: . The first sign of it is usually the appearance of a painless lump in the front of a person's neck. Females are more likely to have this cancer as compared to men at a ratio of 3:1. Persistent hoarseness, however, may be a sign of larynx or lung cancer, as well as of thyroid cancer. Early signs of ovarian cancer. Medullary cancer is found in about 4% of all thyroid cancer cases. If caught early, this cancer is often. Thyroid cancer is often caught early because of its location in the body. Swelling of the neck swelling of the neck is one of the more noticeable symptoms, but benign disorders like thyroid nodules can also cause it. A lump in the front of the neck, near the adam's apple The prior medullary thyroid cancer growth is discovered, the more probable it very well may be ceased and treated. ...
How To Make Invitation Cards For Birthday : a simple favor: Custom Valentine Birthday Invitations / Customize free birthday invitation templates and hype up the excitement for your day. . For any kids birthday invitation to be completely free to send, you need to first filter on whether you sent a card or flyer invitation, all of our invitation templates come with easy rsvp tracking. Adobe spark makes it easy to design custom birthday invitations. You may use the ones bought over the counter or method 1: Birthday invitation cards use a bright color scheme with colors that contrast each other, have an eye catching header, might use a color filter to make text pop thanks for making it so easy for me to use your templates. A party is the perfect way to express your friendship or affection for the honoree. Make your own birthday invitations free template. We collaborate with independent designers to offer you a selection of premium print techniques. You may use the ones ...
Komentar
Posting Komentar